今年26岁的小张
身体向来不错
但最近她却突然生病
咳嗽、胸闷、持续高烧的症状
已经持续一周多
服用感冒药也不见好
反倒愈演愈烈
于是在家人的陪同下
她来到医院就诊

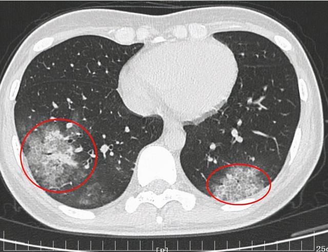
文章插图
西安高新医院呼吸与危重症学科副主任医师 高和飞:“从CT上表现病人就是肺炎,收住以后发现她的肺炎和普通的肺炎还是有一定的区别,她的双肺有团片影。”

文章插图
【 小张|西安一女子持续高烧被送医,竟和养鹦鹉有关】 导致小张不适的感染病原微生物到底是什么?医生追问她的接触史,这才了解到,原来小张素来喜欢鸟,家中还养着一只美丽的鹦鹉。
西安高新医院呼吸与危重症学科副主任医师 高和飞:“今年开始,她在家里养鹦鹉,并且跟鹦鹉经常有亲密接触 ,加之她的房间不通风,空气流通比较差一点。”

文章插图
医生猜测,小张的病可能与鹦鹉接触有关。果然,在随后的病原微生物宏基因组检测中,发现了鹦鹉热衣原体 ,这是一种人畜共患的传染病。
西安高新医院呼吸与危重症学科副主任医师 高和飞:“除了在鹦鹉身上可以携带,其他禽类,比如鸽子、鹅、鸡都可以携带,部分人接触之后会发生肺炎,甚至累及心脏,造成心肌炎,甚至肝脏损伤、肾脏损伤,严重者多脏器衰竭,甚至死亡。”

文章插图
好在小张发现的及时,通过抗生素的治疗后,目前已经痊愈出院了。 医生提醒,对于经常和禽类打交道的朋友们来说,鹦鹉热还是有很大隐患的。
西安高新医院呼吸与危重症学科副主任医师 高和飞:“平时饲养的时候要注意卫生,处理排泄物的时候戴口罩、戴手套、勤洗手,还要进行通风处理,并且做定期检疫。”采访人员:冉梦鑫
来源:《都市热线》
wjz
- 恋爱中,一个人不爱你的表现有哪些
- 被背叛的一方为什么会对抗?
- 夜读丨我们都需要一个知己
- 经营感情的第一层境界是什么
- 背叛婚姻的人不改变,却要被背叛的一方做改变
- 昆德拉为什么说“只活一次就好像没有活过”?看完《开端》,我悟了
- 主动脉夹层|晨读丨1月27日,关注健康每一天
- 牙周组织|29岁女子整口牙掉了一大半!医生一看:剩下的全保不住了
- 睡前发朋友圈晚安一句话心情说说 晚安心语正能量励志图片
- 言多必失,闭嘴见修养
