一觉醒来出现偏瘫,患者到底怎么了?
傻大方提示您本文标题是:《一觉醒来出现偏瘫,患者到底怎么了?》。来源是。
一觉醒来出现偏瘫,患者到底怎么了?。肺栓塞|呼吸暂停|肺动脉|缺血性|患者---
近日,来自意大利的 Valerio Brunetti 等报告了一个案例:患者醒来后出现右侧偏瘫、感觉迟钝和发音障碍。文章近期发表在 Chest 杂志上。
病例介绍
患者是一名 57 岁、肥胖(体重指数 39 kg/m2)且严重打鼾者,既往曾有两次下肢血栓性静脉炎发作史(12 年前及 5 个月前)。患者家族史显示存在血栓形成倾向:其父亲和侄子死于肺栓塞,妹妹多次出现深静脉血栓形成(DVT)。患者入院前 3 天曾有晕厥史,当时考虑可能与严重心动过缓、呼吸困难和严重血红蛋白去饱和有关,这些症状提示患者存在肺栓塞的可能。
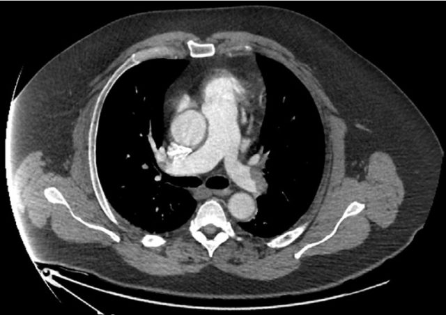
入院后,患者卒中量表评分(NIHSS)为 7 分,随即进行头部 CT 血管造影,显示患者左侧颞叶及岛叶缺血灶,确诊为缺血性脑卒中,并未发现动脉闭塞;肺动脉 CT 血管造影显示双侧肺动脉几乎全部闭塞(如图 1);下肢静脉彩超显示双侧 DVT;经颅多普勒彩超显示静息状态下有微栓子信号,当进行 Valsalva 动作(编者注:关闭口鼻后用力做呼气动作)时信号明显升高。
肺栓塞|呼吸暂停|肺动脉|缺血性|患者---傻大方小编总结的关键词

图 1:肺动脉 CT 血管造影显示双侧肺动脉几乎完全闭塞
此外,患者还进行了超声心动图,发现存在 PFO,左室射血分数为 62%,左室舒张末期直径为 57 mm,右室无明显异常。自身免疫相关的筛查及 24 小时长程心电图无明显异常。随后,患者在入院后第 15 天进行了多导睡眠图监测,结果显示患者存在持久的呼吸暂停(如图 2)。
肺栓塞|呼吸暂停|肺动脉|缺血性|患者---傻大方小编总结的关键词

图 2:一段 5 分钟的多导睡眠图,显示阻塞性呼吸暂停
针对患者的血栓形成倾向,研究者经筛查后发现患者存在 ATIII 缺乏,进一步基因分析结果显示,患者基因外显子存在杂合子突变。最终患者诊断为多种疾病并发:缺血性卒中、肺栓塞、PFO、ATIII 缺乏、OSA。患者出现卒中,考虑是 PFO、ATIII 缺乏、OSA 共同导致的结果,而 DVT 则是 ATIII 缺乏导致的结果。
患者接受了肝素及 ATIII 替代物等治疗,随后改为口服抗凝药。针对 OSA,患者接受了机械通气(使用呼气末气道正压 CPAP)治疗;针对 PFO,接受了封堵术治疗。患者病情逐渐好转,入院第 25 天,NIHSS 评分为 0 分。
最终诊断
多种疾病并发:缺血性脑卒中、肺栓塞、卵圆孔未必(PFO)、抗凝血酶(AT)III 缺乏和睡眠呼吸暂停(OSA)。
病例讨论
PFO 是房间隔出现了一个孔道,血流会直接穿过而绕开肺循环;不明原因性卒中患者中,检出率较高。通常来说,由于左心室压力较高,PFO 患者一般不发生右向左分流会;但当此类患者进行 Valsalva 动作等时,右心压力升高超过左心,则出现分流。事实上,已经有研究证实合并 PFO 的 OSA 患者在睡眠呼吸暂停时会出现右向左分流。
正如本例患者在睡眠过程中,持续的阻塞性呼吸暂停会促发 Valsalva 动作及 Muller 动作(编者注:指关闭口鼻后做吸气动作),进而导致右心房压力升高,通过未闭的卵圆孔形成右向左的大量分流,最终导致肺栓塞及缺血性脑卒中。
此外,患者发生肺栓塞也存在静脉相关疾病因素。ATIII 是一种天然抗凝剂,其缺乏可分为两种类型,I 型为 ATIII 抗原缺乏,II 型为 ATIII 活性或功能性缺陷,本例患者为 I 型缺乏,与 DVT 及肺栓塞相关。
本网站所有注明"来源:丁香园"的文字、图片和音视频资料,版权均属于丁香园所有,非经授权,任何媒体、网站或个人不得转载,授权转载时须注明"来源:丁香园"。本网所有转载文章系出于传递更多信息之目的,且明确注明来源和作者,不希望被转载的媒体或个人可与我们联系,我们将立即进行删除处理。
- 你有每天早上有坚持一个鸡蛋吗?身体会出现这些变化
- 医生:脖子上出现3个症状,癌症可能已临近
- 86岁老中医:身体出现这6个现象,说明体内已有癌细胞,是癌症的
- 出现以下4大症状?你该补充维生素D了
- 今起三天重庆持续阴雨天气 8月山城出现3段区域高温
- 脱发的年轻人,你该吃点这个
- 无症状的胆结石最可怕!身体出现这些症状,赶快就医
- 数千人将突然出现,赣州明天有大事发生,赶紧看看!
- 一场感冒让她心脏骤停3次,治疗花了100多万!感冒出现这些症状一
- 县城公立学校为何频频出现超大班额问题
